Kiểm soát đau cấp tính sau phẫu thuật bằng phương pháp PCA (giảm đau do người bệnh tự kiểm soát)
Hội chứng tự miễn đa cơ quan liên quan đến u tuyến ức (TAMA) là bệnh hiếm gặp, được định nghĩa là một rối loạn tự miễn kịch phát xảy ra dưới dạng hội chứng cận ung thư ở bệnh nhân có u tuyến ức. Đặc điểm nổi bật của TAMA là sự tấn công của các tế bào T tự phản ứng lên biểu mô của nhiều cơ quan, tạo ra bệnh cảnh lâm sàng và mô bệnh học tương đồng với bệnh Ghép chống chủ (GvHD). Do tính chất hiếm gặp và biểu hiện da liễu đa dạng, bệnh thường bị chẩn đoán nhầm với các bệnh lý viêm da mạn tính hoặc tự miễn hệ thống khác trong giai đoạn sớm.
1. Tổng quan về hội chứng TAMA
Tuyến ức đóng vai trò thiết yếu trong việc thiết lập sự dung nạp miễn dịch trung ương thông qua quá trình chọn lọc âm tính các tế bào T tự phản ứng. Ở bệnh nhân có u tuyến ức (Thymoma), sự biến đổi cấu trúc và sự suy giảm biểu hiện của gene điều hòa miễn dịch (AIRE) dẫn đến việc các tế bào T có ái lực cao với kháng nguyên tự thân thoát ra máu ngoại vi. Các tế bào này thâm nhiễm và gây độc trực tiếp cho các biểu mô có cấu trúc tương đồng, đặc biệt là da, gan và niêm mạc đường tiêu hóa. TAMA thường liên quan đến khối u tuyến ức type B theo phân loại của WHO và có thể xuất hiện trước, cùng lúc hoặc sau khi cắt bỏ khối u.
2. Giới thiệu ca bệnh
Tại Bệnh viện Da liễu Trung ương, chúng tôi ghi nhận một trường hợp hội chứng TAMA hiếm gặp với nhiều biến chứng nặng.
Bệnh nhân nữ, 48 tuổi, bệnh diễn biến trong 5 tháng trước nhập viện. Bệnh khởi phát với tổn thương dát đỏ, bong vảy lan tỏa toàn thân. Bệnh nhân đã 2 lần nhập viện trước đó với chẩn đoán theo dõi vảy nến/dị ứng thuốc. Trong quá trình diễn biến, bệnh nhân xuất hiện nhiều biến chứng nặng, bao gồm thiếu máu nặng, nhiễm khuẩn huyết và nhiễm nấm huyết, đã được điều trị bằng nhiều loại kháng sinh phổ rộng.
Tiền sử ghi nhận ung thư tuyến ức giai đoạn IV, di căn màng phổi, được phát hiện từ năm 2022 và đã điều trị hóa chất nhiều đợt. Từ tháng 01/2024 đến thời điểm nhập viện, bệnh nhân duy trì điều trị với 5-fluorouracil (5-FU), không sử dụng thêm thuốc nào khác trong vòng 2 tháng trước khi khởi phát bệnh da.
Bệnh nhân nhập viện lần thứ ba tại Bệnh viện Da liễu Trung ương trong tình trạng toàn thân ổn định, không sốt, tuy nhiên ngứa nhiều tại các vùng tổn thương da. Khám lâm sàng ghi nhận tổn thương da lan tỏa trên >90% diện tích cơ thể, biểu hiện bằng các dát, sẩn và mảng đỏ, ranh giới không rõ, bề mặt phủ vảy màu nâu. Có dấu hiệu lộn mi mắt (ectropion). Một số vùng chi xuất hiện dày sừng, lichen hóa. Tổn thương móng gặp ở toàn bộ móng tay và móng chân với biểu hiện vàng móng, dày sừng dưới móng và tách móng. Không ghi nhận đau khớp và không có tổn thương niêm mạc.
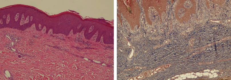
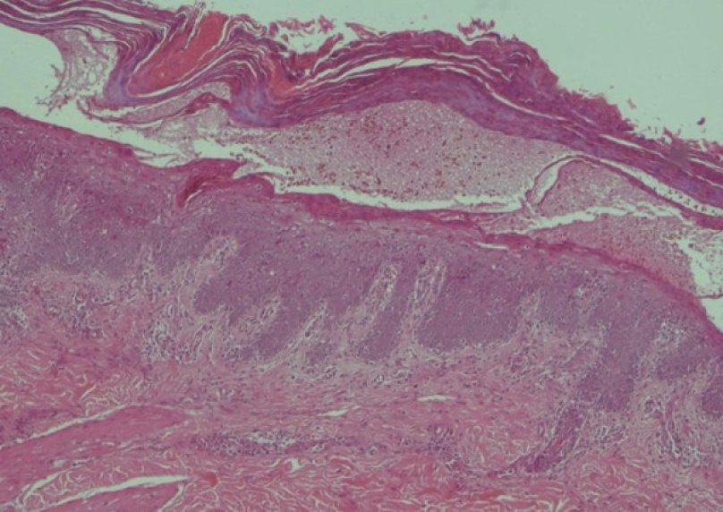
Bệnh nhân được tiến hành sinh thiết da hai lần. Kết quả giải phẫu bệnh lần 1 (01/2026) cho thấy hình ảnh tăng sản thượng bì dạng vảy nến, kèm theo nhiều tế bào dị sừng. Kết quả lần 2 (03/2026) ghi nhận thượng bì tăng sản dạng vảy nến, dày sừng và á sừng, kèm theo phản ứng viêm dạng lichen và tăng sinh collagen. Nhiều tế bào dị sừng (dyskeratotic cells) xuất hiện rải rác trong lớp gai. Nhuộm Masson ba màu xác nhận tình trạng tăng sinh collagen lan tỏa tại trung bì.
Các xét nghiệm nhằm loại trừ bệnh lý bọng nước tự miễn, bao gồm miễn dịch huỳnh quang gián tiếp trên bàng quang chuột và bộ kháng thể bọng nước, cho kết quả âm tính. Xét nghiệm tự miễn (ANA Hep-2) cũng âm tính.
Xét nghiệm huyết học cho thấy bệnh nhân thiếu máu mức độ nặng, với số lượng hồng cầu giảm còn 2,48 T/L và nồng độ huyết sắc tố (Hb) giảm sâu xuống 65 g/L. Bệnh nhân có tiền sử thiếu máu và đã được truyền máu nhiều lần trước đó.
Các thăm dò chẩn đoán hình ảnh ghi nhận: chụp cắt lớp vi tính ngực (MSCT) phát hiện khối u tuyến ức ác tính giai đoạn IV, xâm lấn màng phổi và có tổn thương hạch thượng vị. X-quang ngực cho hình ảnh phù hợp với tình trạng theo dõi ung thư tuyến ức.
Siêu âm hạch ngoại vi (vùng cổ, nách, bẹn) phát hiện một số hạch kích thước không đều, tuy nhiên ranh giới rõ, bờ đều, chưa ghi nhận dấu hiệu phá vỡ cấu trúc hạch. Hạch lớn nhất có kích thước 10,9 × 7,1 mm.
Trước tính chất phức tạp của ca bệnh, một cuộc hội chẩn toàn viện đã được tổ chức tại Bệnh viện Da liễu Trung ương, dưới sự chủ trì của Lê Hữu Doanh, cùng sự tham gia của Nguyễn Hữu Sáu và đại diện lãnh đạo Phòng Kế hoạch tổng hợp, các khoa lâm sàng, Khoa Giải phẫu bệnh, Phòng Điều dưỡng, cùng nhiều chuyên gia giàu kinh nghiệm.
Tại buổi hội chẩn, các chuyên gia đã tiến hành phân tích toàn diện diễn biến lâm sàng, tiền sử bệnh, các yếu tố liên quan đến điều trị cũng như nguy cơ phản ứng thuốc. Đồng thời, các khả năng chẩn đoán bao gồm bệnh lý tự miễn, bệnh lý ác tính và các tình trạng liên quan đến suy giảm miễn dịch đã được xem xét một cách hệ thống. Nhiều giả thuyết chẩn đoán được đặt ra và thảo luận kỹ lưỡng, qua đó thống nhất chỉ định bổ sung các xét nghiệm chuyên sâu nhằm xác định chính xác căn nguyên bệnh.
Kết luận sau hội chẩn, các chuyên gia thống nhất chẩn đoán hội chứng TAMA trên nền bệnh lý u tuyến ức ác tính giai đoạn IV. Đây là một trường hợp bệnh nặng, hiếm gặp, có biểu hiện lâm sàng phức tạp và nhiều biến chứng đi kèm.
3. Bàn luận chuyên sâu
Hội chứng TAMA đại diện cho một thách thức lớn trong chẩn đoán da liễu do khả năng "mô phỏng" các tình trạng viêm da phổ biến. Trong trường hợp này, việc bệnh nhân bị chẩn đoán nhầm là Lupus ban đỏ hệ thống hoặc Vảy nến trong giai đoạn đầu hoàn toàn phù hợp với các báo cáo của Wadhera et al. (2007) và Bernard et al. (2016), những người đã chỉ ra rằng tổn thương da của TAMA có thể khởi phát dưới dạng mảng đỏ bong vảy hoặc sẩn lichen phẳng trước khi bùng phát thành đỏ da toàn thân. Sự hiện diện của kháng thể kháng nhân (ANA) dương tính trong bối cảnh này thường không phản ánh một bệnh mô liên kết điển hình mà là hệ quả của sự mất điều hòa miễn dịch diện rộng do u tuyến ức gây ra.
Về mặt mô bệnh học, dấu hiệu then chốt để xác định TAMA là hiện tượng interface dermatitis kèm theo các tế bào dị sừng (dyskeratotic cells). Cơ chế này đã được làm rõ trong các nghiên cứu của Miyagaki et al. (2013), theo đó các lympho bào T CD8+ xâm thâm nhiễm lớp đáy thượng bì và kích hoạt quá trình chết tế bào theo chương trình (apoptosis) của các tế bào gai. Đây là đặc điểm tương đồng với bệnh Ghép chống chủ (GvHD), gợi ý rằng khối u tuyến ức đã tạo ra một môi trường nơi các tế bào T không còn khả năng phân biệt giữa kháng nguyên tự thân và kháng nguyên ngoại lai.
Tình trạng thiếu máu nặng (Hb 65 G/L) ở bệnh nhân là một chỉ dấu lâm sàng cực kỳ quan trọng. Y văn ghi nhận u tuyến ức thường đi kèm với hội chứng bất sản hồng cầu thuần túy (PRCA) và hội chứng Good (suy giảm gamma-globulin máu). Sự kết hợp giữa đỏ da toàn thân kịch phát và thiếu máu nặng trong ca bệnh này phản ánh sự tấn công đồng thời của hệ miễn dịch vào cả biểu mô da và các tế bào tiền thân dòng hồng cầu trong tủy xương. Theo Papadopoulos et al. (2017), những bệnh nhân có sự phối hợp đa cơ quan như vậy thường có tiên lượng rất dè dặt, đặc biệt khi khối u đã tiến triển sang giai đoạn IV Masaoka (di căn màng phổi) như trường hợp này.
Chiến lược điều trị TAMA đòi hỏi một phương pháp tiếp cận đa chuyên khoa. Mặc dù phẫu thuật cắt bỏ tuyến ức là tiêu chuẩn vàng, nhưng đối với những trường hợp u ác tính đã di căn, vai trò của ức chế miễn dịch hệ thống trở nên cấp thiết hơn bao giờ hết. Corticosteroid liều cao phối hợp với Cyclosporine hoặc các tác nhân ức chế tế bào T khác được khuyến cáo để kiểm soát phản ứng giống GvHD tại da và ruột. Tuy nhiên, thách thức lớn nhất là nguy cơ nhiễm trùng cơ hội trên một cơ thể đã suy kiệt và mất đi hàng rào bảo vệ da do tình trạng đỏ da toàn thân kéo dài.
4. Kết luận
Hội chứng TAMA là một minh chứng lâm sàng cho sự phức tạp của mối liên hệ miễn dịch giữa tuyến ức và các cơ quan ngoại vi. Đối với các bác sĩ da liễu, đỏ da toàn thân kèm theo thiếu máu nặng và các dấu hiệu tế bào dị sừng trên mô bệnh học phải được coi là một tình trạng báo động đỏ để tầm soát u tuyến ức ngay lập tức. Việc chẩn đoán sớm và phối hợp điều trị giữa chuyên khoa Da liễu, Ung bướu và Huyết học là hy vọng duy nhất để quản lý các biến chứng tự miễn hệ thống và cải thiện tiên lượng cho bệnh nhân trong những giai đoạn muộn của bệnh.
TÀI LIỆU THAM KHẢO
1. Wadhera, A., et al. (2007). "Thymoma-associated multiorgan autoimmunity: a graft-versus-host-like disease." Journal of the American Academy of Dermatology, 57(4), 683-689.
2. Miyagaki, T., et al. (2013). "Thymoma-associated multiorgan autoimmunity mimicking graft-versus-host disease." The Lancet, 382(9889), 370.
3. Bernard, C., et al. (2016). "Clinical Spectrum of Thymoma-Associated Multiorgan Autoimmunity: A Retrospective Study of 22 Cases." European Journal of Internal Medicine, 34, 84-91.
4. Papadopoulos, V., et al. (2017). "Thymoma-associated multiorgan autoimmunity and pure red cell aplasia." Journal of Thoracic Oncology.
Viết bài: BSNT Nguyễn Thị Thảo Nhi – Khoa điều trị bệnh da phụ nữ và trẻ em
Đăng bài: Phòng Công tác xã hội
Sáng sớm: 6h30 - 7h30
Buổi sáng: 7h30 - 12h30
Buổi chiều: 13h30 - 16h30
Ngày T7, CN và ngày lễ:Buổi sáng: 7h30 - 12h00
Buổi chiều: 14h - 17h30